Skip to main content
Brandon Perio Clinic

Main navigation

  • About
  • Services
    • Examination
    • Periodontal Therapy
    • Home Care
    • Gum Grafting
    • Crown Lengthening
    • Gum Recontouring
    • Guided Tissue Regeneration
    • Guided Bone Regeneration
    • Dental Implants
    • Oral Cancer Screening
    • Digital X Rays
    • Cone Beam CT Scanning
  • Gallery
    • Surgical Tooth Exposure
    • Gum Grafting
    • Crown Lengthening
    • Gum Recontouring
    • Guided Tissue Regeneration
    • Dental Implants
  • Patient Information
    • FAQ
    • Forms & Instructions
    • Patient Survey
    • Testimonials
  • Education
    • Women & Periodontal Disease
    • Periodontal Disease & Cardiovascular Disease
    • Smoking & Periodontal Disease
    • Diabetes & Periodontal Disease
  • Blog
  • Referrals
  • Careers
  • Contact Us
Contact Us
For A Consultation P:
204-726-1211

Gum Grafting

Breadcrumb

  1. Home
  2. Photo Gallery
  3. Gum Grafting
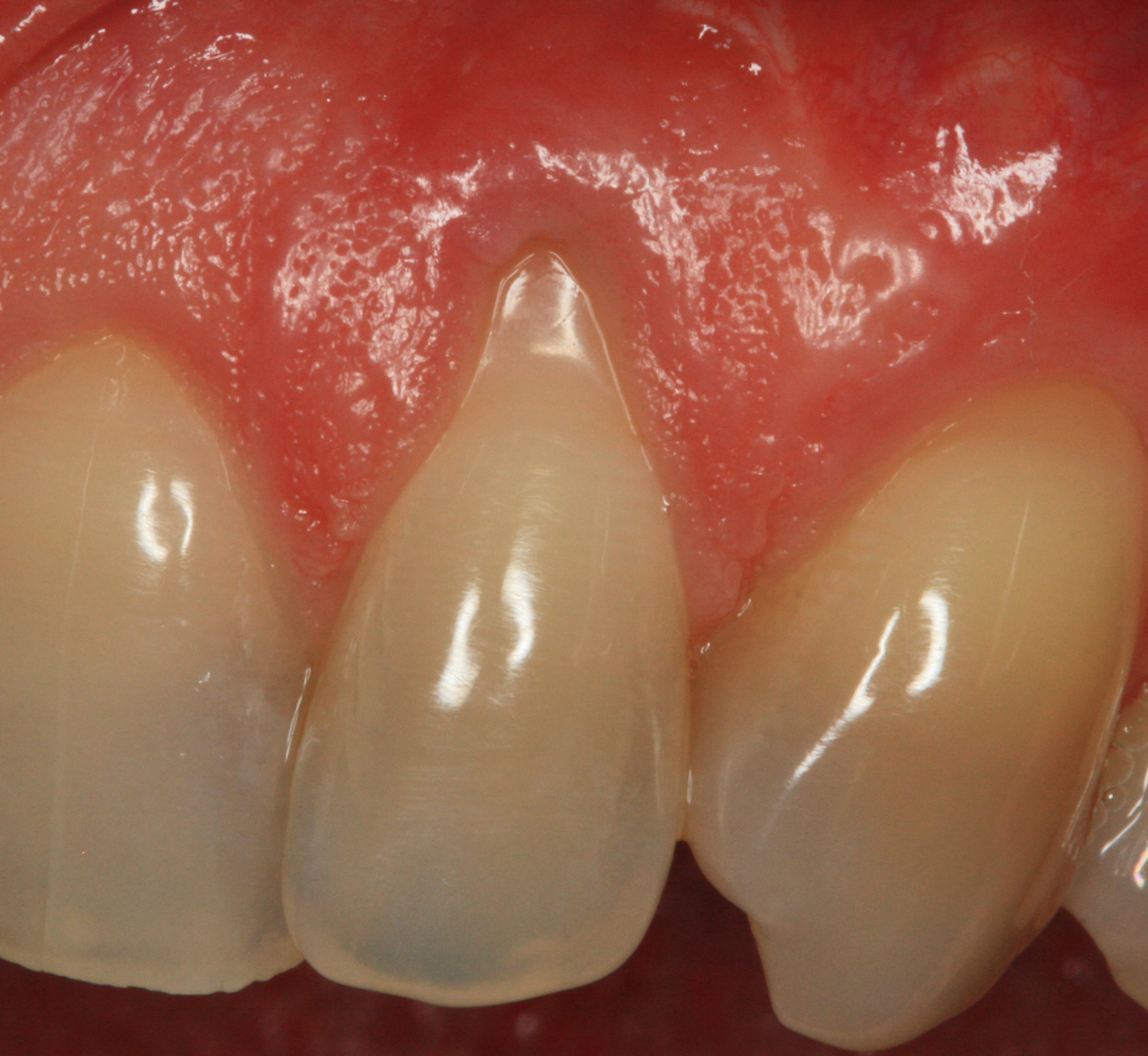
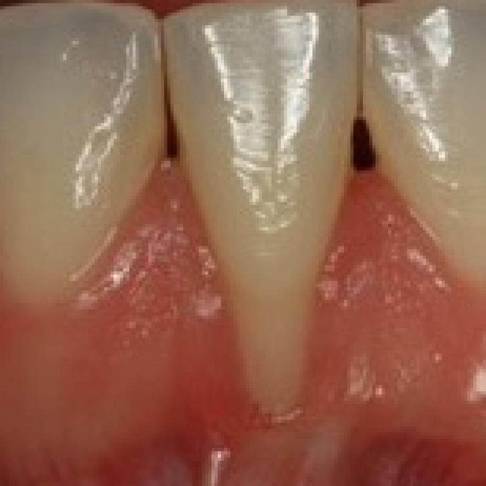
Gum Grafting

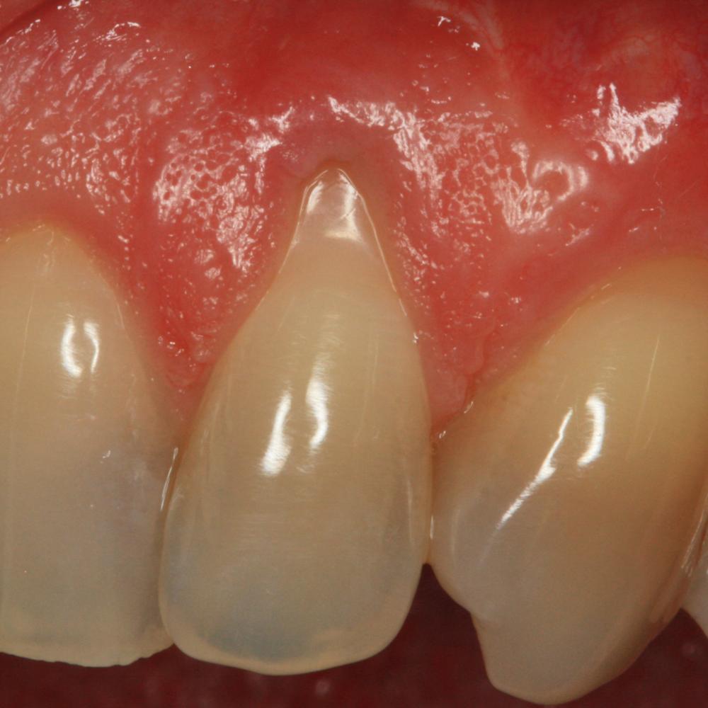
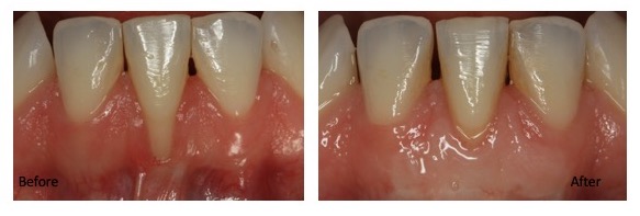
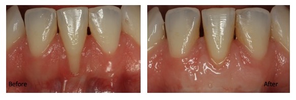
Gum Grafting

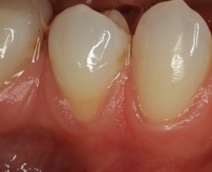
Before

CTG 22

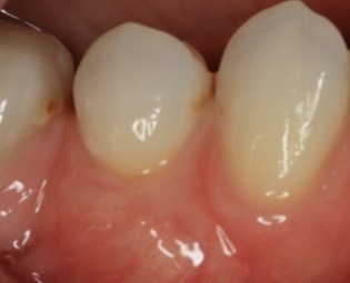
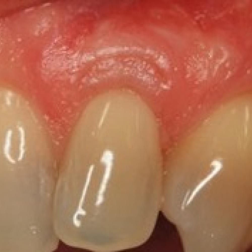
After

CTG 22

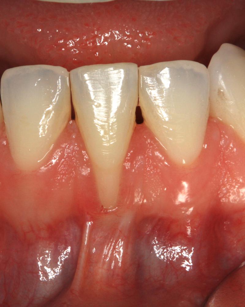
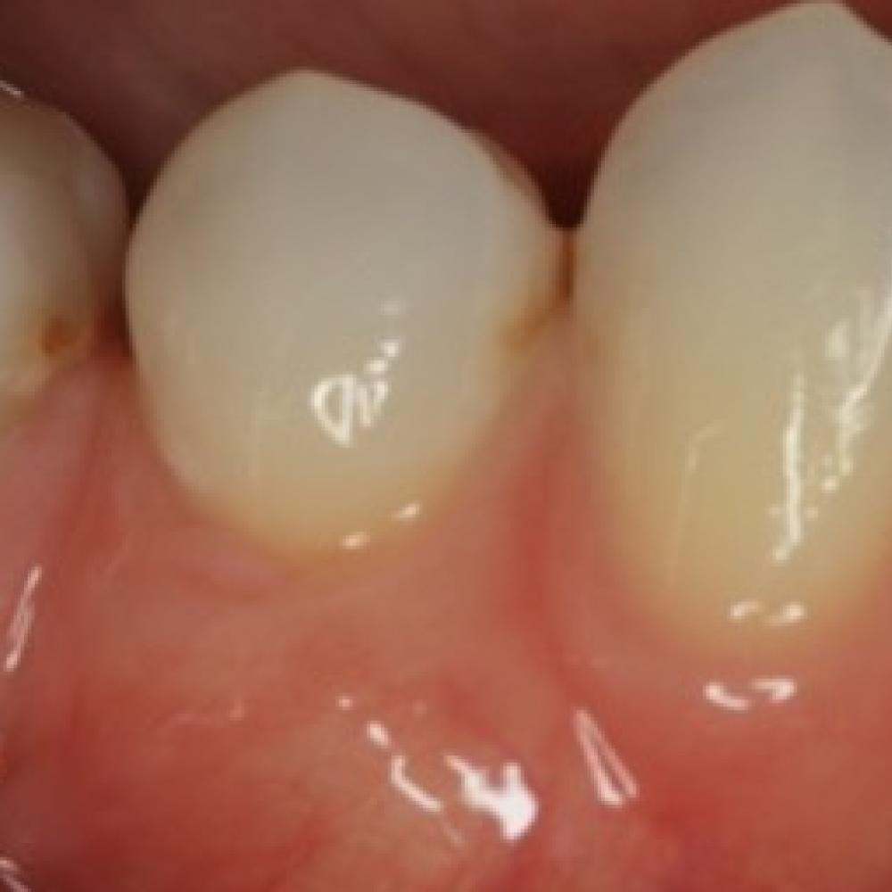
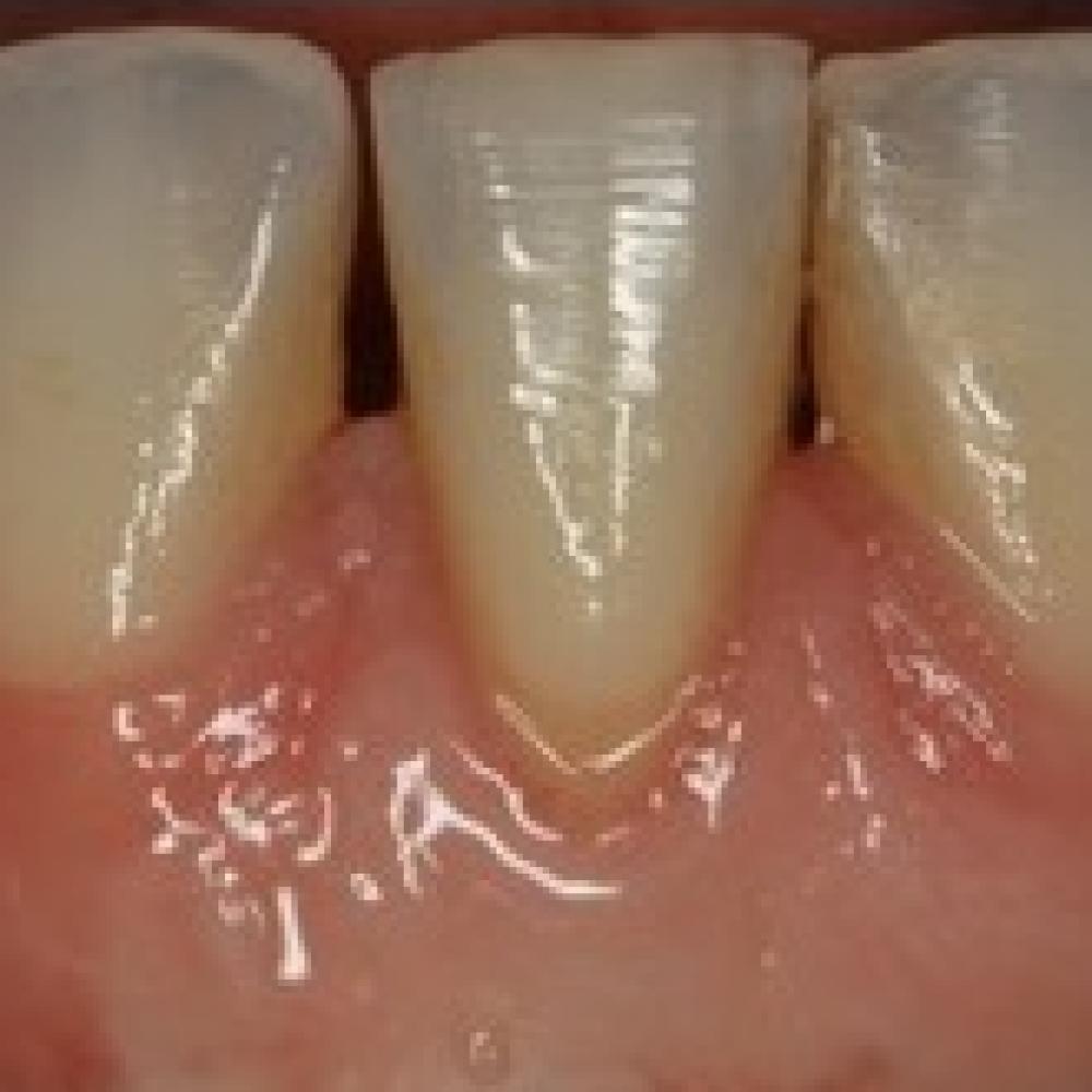
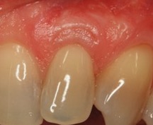
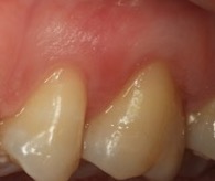
Gum Grafting

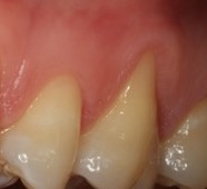
Before

Gum Grafting

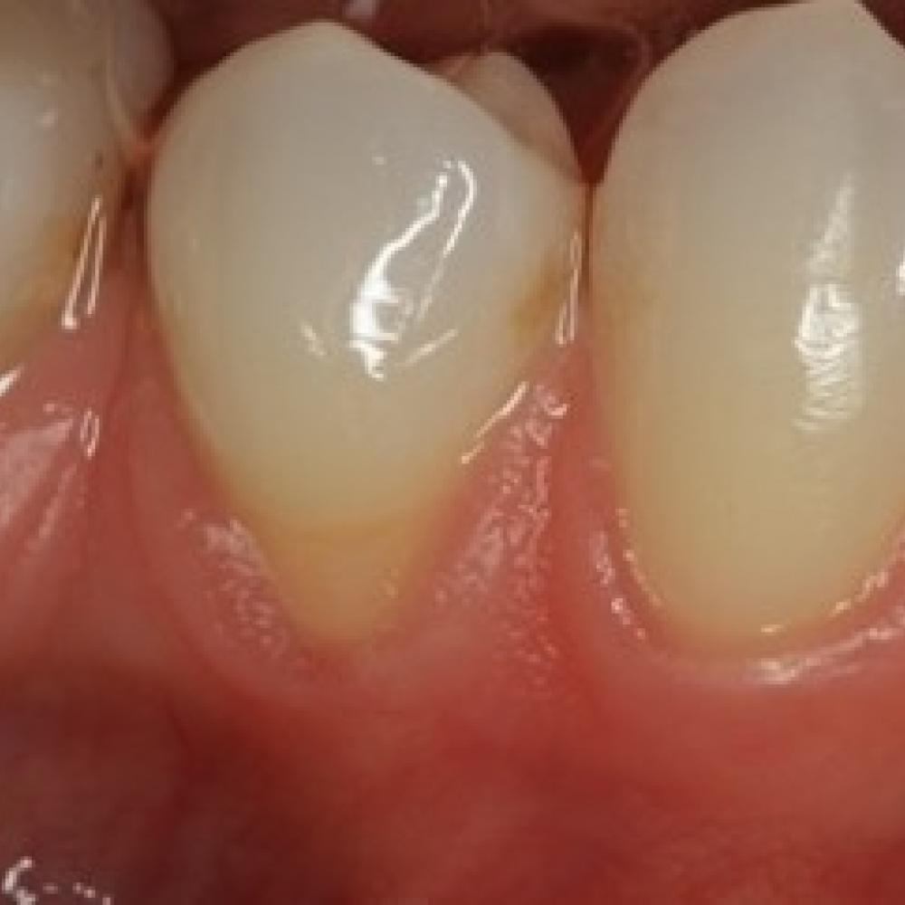
After

Gum Grafting

Gum Grafting

Before

Gum Grafting

After

Gum Grafting

Gum Grafting

Before

Gum Grafting

After

Gum Grafting

Book Your Next Appointment Today

For a Consultation, No Referral Necessary
info@brandonperio.com
204-726-1211

Address

1100 Richmond Ave. Unit B
Brandon, MB, R7A 1M6
Get Directions

Contact

Phone: (204) 726-1211
Fax: (204) 571-1560
Email: info@brandonperio.com

Hours

Tuesday - Friday: 8:30am - 4:30pm
Monday: 8:00 am - 4:00 pm (admin)
Saturday - Sunday: Closed

Information

Contact us today to book an appointment
Book Today
 

© 2026 Brandon Perio Clinic
Winnipeg Web Design By Verda Design
Brandon Perio Clinic

Main navigation

  • About
  • Services
    • Examination
    • Periodontal Therapy
    • Home Care
    • Gum Grafting
    • Crown Lengthening
    • Gum Recontouring
    • Guided Tissue Regeneration
    • Guided Bone Regeneration
    • Dental Implants
    • Oral Cancer Screening
    • Digital X Rays
    • Cone Beam CT Scanning
  • Gallery
    • Surgical Tooth Exposure
    • Gum Grafting
    • Crown Lengthening
    • Gum Recontouring
    • Guided Tissue Regeneration
    • Dental Implants
  • Patient Information
    • FAQ
    • Forms & Instructions
    • Patient Survey
    • Testimonials
  • Education
    • Women & Periodontal Disease
    • Periodontal Disease & Cardiovascular Disease
    • Smoking & Periodontal Disease
    • Diabetes & Periodontal Disease
  • Blog
  • Referrals
  • Careers
  • Contact Us
Work With Us