
Overview
Digital x-rays, often referred to as digital radiography, are the very latest in dental xray technology. Digital x-rays utilise a digital image capture device rather than x-ray film. This system saves time as there isn’t any need to develop film photographs and produces pictures with a better resolution than standard dental x-ray machines. Digital x-rays also send out significantly lower levels of radiation as pictures are produced electronically.

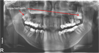
Digital x-rays can be used to diagnose:
- Cysts of jawbone
- Bone loss
- Cancerous and non-cancerous bony lesions
- Decay between teeth
- Development abnormalities
- Poor tooth and root positions
- Impacted teeth

