
Overview
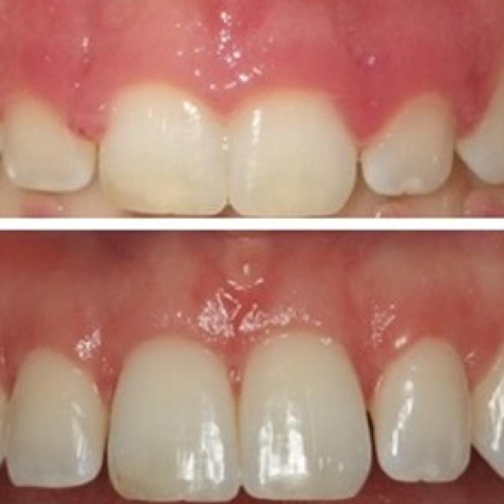
Gum contouring, also known as gum reshaping, is used to improve the general look of a person’s gums and teeth. It is primarily performed to improve a gummy smile. If your teeth appear short, excess gum and bone tissue can be reshaped to expose more of the natural tooth and create a natural looking smile.